Has your furry child ever had to endure the Cone of Shame?
This is a first for Tigger, and to put it lightly… he’s NOT a fan.

If you’ve seen Tigger in the last year or so, you might have seen the lump on his left hind leg. It started out really small and never bothered him, so it didn’t bother us. VERY slowly, the lump grew and we thought it was a cyst or a fatty deposit, because (again) it never bothered him. His eating and drinking was the same, he still took walks/runs, still got the zoomies, and was just overall the same dog.
During our trip to Florida, we noticed it had gotten a little larger, so we knew it was time to get it looked at. (Still wasn’t bothering him.) Being new to the area, we had yet to establish a vet, since it wasn’t needed until now. LOTS of research and reading of reviews, we settled on the Animal Medical Clinic of Greeneville, and made Tigger an appointment to get it checked out.

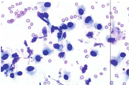
Dr. J (wow, she’s amazing) took 4 samples out of the lump and Tigger didn’t even flinch. She said it was hollow in the middle, and it wasn’t fat cells as she hoped. 4 slides of… stuff… (not that kind of doctor) got sent off to pathology to see what had grown to the size of a golf ball on Tigger’s leg. While the slide looked interesting, we didn’t love the outcome.
The cytology report came back 3 days later indicating “Probable mesenchymal neoplasia”. Thankfully, Dr. J put into terms I would be able to understand, even though she also sent me the report showing the comments from the lab.

Basically, with 80% confidence, Tigger had a cancerous tumor on his leg. We said yes to having it surgically removed ASAP. Monday, we brought him in for a chest x-ray to make sure it hadn’t spread, and we were able to schedule surgery for Tuesday. They said no food or drink after 8pm and to drop him off by 8am the next morning. We weren’t worried and felt at peace about this event.
Well, Monday night the major wind storm hit, so no one got any sleep.
Tigger was anxious, but walked back to the surgery room with the vet tech that morning. We got a call from the surgeon about 12:30pm saying everything went textbook perfect. They were able to remove the entire lump and there was enough skin to stitch it up without it being too tight. We were allowed to come get him anytime after 3pm, so we were there at 3pm. He was SO lethargic, it was pathetic. Greg sat in the back with him, so he didn’t try to stand on the drive home. Coming home, he went straight to his bed and back to sleep. The purple bandage was where his IV went it.


He was on sedatives and antibiotics for the next week, and at night he wore the Cone of Shame. Of course, he hated it and the first night home, I was up with him every 30 minutes most of the night. I would hear him get out of bed, walk around, try to get back in bed (the cone would catch on his pillow), and then lay on the floor because he couldn’t (wouldn’t) figure it out. I felt bad for him, so I would get out of bed, coax him back into bed, give snuggles, and then go back to bed. Rinse and repeat until nearly 3am when I brought out the Mom voice. I told him if he got out of bed, he would have to sleep on the floor. He stayed in bed the rest of the night – imagine that.


3 nights of the Cone of Shame and we were all over it. I went to the pet store and got the inflatable neck collar to try out. 5 nights later, I have come to find out that it doesn’t work work a darn. I can tell he’s licking it, but it still seems to be healing. He’s now off the meds and his peppiness is back, along with his appetite.


After a week of laying around and sleeping, it’s good to see him happy and playful again. Now, getting him to stop chasing the bumblebees is a whole other adventure! Next Thursday we go back to the vet to have his stitches removed and get the all clear from the vet. We believe he will fully recover and back to playing frisbee in no time!
~Katie

Leave a comment